|
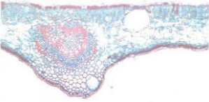
【标题】 九里香 【拼音】 Jiǔ Lǐ Xiānɡ 【英文】 Common Jasminorange, Leaf and Twig, Leaf and twig of Common Jasminorange 【拉丁文】 1.Murraya paniculata (L.)jack.[Chalcas paniculata L.]2.Murraya paniculata (L.)jack.var.exotica(L.)Huang 【异名】 千里香、满山香、五里香、过山香、千只眼、水万年青、千枝叶、千只眼跌打、臭千只眼。 【性味】 味辛;微苦;性温;小毒 【归经】 心;肝;肺经 【功效】 行气活血;散瘀止痛;解毒消肿。主胃脘疼痛;跌扑肿痛;疮痈;蛇虫咬伤 【药用】 为芸香科植物九里香和小叶九里香的茎叶。 【应用】 用于局部麻醉及表面麻醉,以九里香注射液作局部麻醉行大小手术100例,初步观察效果稳定,无不良反应,术中和术后血压、脉搏、呼吸平稳,无肝、肾等损害或其它并发症,无出血、水肿、坏死等现象;镇痛时间长。49例胃次全切除术术后除2例外,均无明显疼痛。缺点是局部刺激较大,腹部手术时腹肌较紧张,对深部手术仍较困难。用量:一个胃次全切除术用12.5%注射液150-200ml(切口浸润),6.25%注射液150-200ml(内脏封闭);小手术则几十ml不等。注射后约10-20分钟即产生麻醉作用,手术时间最长达3小时。小手术均不用术前药,对胃次全切除木术前一般用苯巴比妥钠0.1克或度冷丁50-100mg肌注,对精神较紧张的患者,术时加用冬眠1号半量或全量。用九里香制成表面麻醉剂,涂于咽喉部粘膜表面,作扁桃体挤切术108例,效果良好。涂药后数分钟即出现麻醉作用,痛觉减退。麻醉时间可维持10分钟左右。 【注意】 广西中药志:阴虚火亢者忌用 【用法用量】 内服:煎汤,6-12g;或入散剂;或浸酒。外用:适量,捣敷或煎水洗。 【形态】 1.九里香 常绿灌木或小乔木,高3-8m。树皮苍灰色,分枝甚多,光滑无毛。奇数羽状复叶互生;小叶3-9枚,卵形、倒卵形至近菱形,长2-8cm,宽1-3cm,先端钝或钝渐尖,有时微凹,基部宽楔形或近圆形,全缘,上面深绿色光亮,下面青绿色,密生腺点,腺点干后褐黑色,中脉凸出,均无毛,纸质或厚纸质。3至数花的聚伞花序,顶生或腋生,花轴近于无毛;花大,直径达4cm,极芳香;花柄细长;萼片5,三角形,长约1-2mm,宿存;花瓣5,白色,倒披针形或狭长圆形,长2-2.5cm,有透明腺点;雄蕊8-10,长短相间;子房上位,2室,每室有2胚珠,花往长4-6mm,柱头极增广,常较子房宽。浆果米红色,球形或卵形,长12-20mm,厚5-10mm,先端尖锐;有种子1-2颗,种皮具棉质毛。花期4-6月,果期9-11月。 2.小叶九里香 与九里香不同处:奇数羽状复叶,具小叶3-7,小叶片较小,倒卵形,长2-4.5cm,宽1-2cm,中脉在两面不凸出,革质较厚;花序有花较多,花较小,直径2-3cm,雄蕊及雌蕊均较短小;花药背面有2颗突起的小腺体。子房每室仅1胚珠。果实较小,长8-10mm。花期4-6月,果期7-9月。 【生态环境】 1.生于干旱的旷地或疏林中。 2.生于较干旱的旷地或灌木丛中。 【产地】 1.分布于福建、台湾、湖南、广东、海南、广西、贵州、云南等地。 2.分布于福建、台湾、广东、广西、云南等地。 【栽培】 生物学特性 喜温暖湿润气候,耐旱,不耐寒。最适年平均温度15-18℃,最高月平均温度27-29℃,最低月平均温度1-2℃,能耐极端最低温度-7℃,年降雨量1000-1600mm为宜。以选阳光充足,土层深厚、疏松肥沃的微碱性土壤栽培为宜。 栽培技术 用种子、扦插、压条繁殖,以扦插繁殖为主。种子繁殖:选饱满鲜红成熟果实,去果皮,晾干。春季3-4月或秋季9-10月上旬播种,条播,按行距30cm开沟,种子用细砂混合后播种,覆土1-2cm,浇水,盖草。气温在16-22℃时,经30d左右发芽。待有2片真叶时进行间苗,苗高15-20cm移栽。扦插繁殖:6-7月选1年生健壮枝条,剪成长10-15cm小段,具4-5节,除去下部叶片,仅留顶端2片叶,斜插手苗床,按行株距10cm×10cm扦插,覆土,浇水,保湿。在20℃下约经1个月生根。春季扦插的当年可以移植;秋季扦插的在翌年移植。压条繁殖:雨季选老枝条,割伤后埋入土中,待生根后,与母体分离栽种。 田间管理 生长期间要及时松土除草,适施稀人粪尿1-2次,采叶者以施氮肥为主,采花者增施过磷酸钙。生长后期要注意修剪,剪除过密枝条或徒长枝,以利通风透光。北方冬季室内越冬,最低温度不低于5℃,冬季温度亦不可过高,否则易消耗营养,影响第二年开花。 病虫害防治 病害有九里香枯叶病,可于早春喷70%托布津1500倍液或50%退菌特1000倍液。虫害有蚜虫、红蜘蛛为害嫩枝叶。 【显微特征】 叶横切面:九里香上、下表皮细胞各1列,长方形。叶肉组织不等面型。栅栏细胞2-3列,不通过中脉,内含多数草酸钙簇晶,直径12-20μm。中脉向上微隆起,于下方突出,下表面内侧有4-5列厚角组织。维管束半月形,双韧型,导管呈放射状排列,薄壁细胞排成狭缝状,上方纤维和导管约占1/3:其上下两侧有纤维束,纤维壁厚,木化。油室多数,圆形,直径80-120μm。 【化学成分】 1.九里香叶含多种香豆精类化合物,从广东、云南、海南、台湾等各地产品中已分离得到:九里香甲素(isomexoticin),九里香乙素(murpanidin),九里香丙素(mur-panicin),长叶九里香内酯二醇(murrangatin),长叶九里香醛(murralongin),5,7-二甲氧基-8-(3’-甲基-2'-酮基丁基)香豆精[5,7-dimethoxy-8-(3’-methyl-2’-oxobutyl)-coumarin],海南九里香内酯(hainanmurpanin),7-甲氧基-8-(2’-甲基-2’-甲酰基丙基)-香豆精[7-methoxy-8(2’-methyl-2'-formylpropyl)。Couma-rin],脱水长叶九里香内酯(phebalosin),8-异戊烯基柠檬油素(8-isopentenyllimettin),欧芹酚甲醚(osthole),月橘香豆素(coumurrayin),九里香香豆精(paniculatin),欧前胡内酯(in-peratorin),水合橙皮内酯(meranzin hydrate),九里香酸(paniculin),九里香内酯酮醇(murpaniculol),水合橙皮内酯甲酸酯(coumurrin),水合橙皮内酯异戊酸酯(murrayatin),小芸木呋喃内酯(microminutin),异橙皮内酯(isomeranzin),橙皮油内酯烯酸(auraptenol),长叶九里香内酯二醇乙酸酯(murrangatin acetate),异九里香内酯酮醇异戊酸酯(paniculonolisovalerate),九里香内酯醛(paniculal),异长叶九里香醇烟酸酯(isomurralonginol nicotinate),九里香内酯烯醇醛(panial),顺式欧芹烯酮酚甲醚(cis-osthenon)等。还含黄酮类化合物:3’,4 ’,5,5’,7-五甲氧基黄酮(3’,4’,5,5’,7-pentamethoxyflavone),3,3’,4’,5,5’,6,7-七甲氧基黄酮(3,3’,4’,5,5’,6,7-heptamethoxy flavone),3,3’,4’,5,5’,7,8-七甲氧基黄酮(3,3’,4’,5,5’,7,8-heptamethoxy flavone),3’,4’,5,5’,7,8-六甲氧基黄酮(3’,4’,5,5’,7,8-hexamethoxy flavone),月橘素(exoticin),4’-羟基-3,3’,5,5’,6, 7-六甲氧基黄酮(4’-hydroxy-3,3’,5,5’,6,7-hexamethoxy flavone)等。又含半胱氨酸(cysteine),丙氨酸(alanine),脯氨酸(proline),酪氨酸(tyrosine),亮氨酸(leucine)等游离氨基酸,以及催吐萝芙木醇(vomifoliol),二十八醇(octacosanol),三十一烷(hentriacotane),葡萄糖(glucose)。另含挥发油,油中有:左旋荜澄茄烯(cadinene),邻氨基苯甲酸甲酯(methyl anthranilate),甜没药烯(bisabolene),β-丁香烯(β-caryophyllene),牻牛儿醇(geraniol),3-蒈烯(3-carene),丁香油酚(eugenol),香茅醇(citronellol),水杨酸甲酯(methyl salicylate),硫-愈创(S-guaiazulene)等。 2.小叶九里香叶含香豆精类化合物:过氧橙皮油内酯烯醇(peroxyauraptenol),顺式和反式的去氢欧芹酚甲醚(dehydro-osthole),尤里香醇(murraol),长叶九里香内酯醇酮(murranganon),异长叶九里香内酯醇酮干里光酸酯(isomurranganonsenecioate),长叶九里香内酯二酸乙酸酯(murrangatin acetate),异长叶九里香醇乙酸酯(isomurralonginol acetate),氯化小叶九里香内酯醇(chloticol),7-甲氧基-8-(l’-乙酸氧基-2’-酮基-3'-甲基丁基)香见精[7-methoxy-8(1'-acetoxy-2'-oxo-3'-methylbutyl)coumarin]即是海南九里香内酯,长叶九里香内酯二醇,脱水长叶九里香内酯,小芸木香豆精(minumicrolin),欧芹酚甲醚,橙皮内酯(meranzin),水合橙皮内酯,水合橙皮内酯异戊酸酯,异味决明内酯醇(casegravol),异橙皮内酯,欧芹烯酮酚甲醚,长叶九里香醇,7-甲氧基-8-甲酸基香豆精(7-methoxy-8-formylcou-marin)即是九里香内酯醛,伞形花内酯(umbelliferone),东莨菪素,西伯利亚邪蒿内酯酸(sibiricol),橙皮油内酯烯醇,橙皮油内酯(aurapten),小叶九里香内酯(murraxocin),过氧九里香醇(peroxymurraol),九里香酮(murrayone),右旋赤式长叶九里香内酯二醇(erythro-murrangatin),长叶九里香醛,7-甲氧基-8-(2'-羟基-3’-乙氧基-3'-甲基丁基)香豆精[7-methoxy-8-(2'-hydroxy-3’-ethoxy-3’-methylbutyl)coumarin],7-甲氧基-8-(2’-乙氧基-3'-羟基-3'-甲基丁基)香豆精[7-methoxy-8-(2’-ethoxy-3'-hydroxy-3'-methylbutyl)coumarin]等。还含黄酮类化合物:3,5,6,7,8,3’,4’,5’-八甲氧基黄酮(3,5,6,7,8,3’,4',5'-octamethoxy flavone)即是月橘素(exoticin),3,5,6,7,3’,4’,5’-七甲氧基黄酮,3,5,7,8,3',4',5'-七甲氧基黄酮,5,6,7,3',4',5'-六甲氧基黄酮(5,6,7,3',4',5'-hexamethoxy flavone),3,5,7,3’,4', 5’-六甲氧基黄酮(3,5,7,3’,4',5’-hexamethoxyflavone),5,6,7,3’,4’-五申氧基黄酮(5,6,7,3’,4’-pentameythoxyflavone),3,5,6,8,3',4',5'-七甲氧基黄酮(3,5,6,8,3’,4’,5'-heptamethoxy flavone)等。又含生物碱:九里香碱(murrayanine),O-甲基柯氏九里香酚碱(koenimbine),柯氏九里香碱(koenigine),O-甲基柯氏九里香碱(koenigicine),柯氏九里香酚碱(koenine),吉九里香碱(girinimbine),马汉九里香宾碱(ma-hanimbine)、环马汉九里香碱(cyclomahanimbine),双环马汉九里香碱(bicyclomahanimbine),异马汉九里香碱(isomahanimbine),马汉九里香星碱(mahanimbicine),双环马汉九里香星碱(bicyclomahanimbicine),马汉九里香宁碱(mahanimbinine),柯氏九里香卡任碱(murrayacarine),柯氏九里香洛林碱(koeinoline),双-7-羟基吉九里香碱(bis-7-hydroxygirinimbine)A,双-7-甲氧基吉九里香碱(bis-7-methoxygirinimbine)A,小叶九里香咔唑林碱(exozoline)。另含二萜及三萜化合物:柯伦氏泪柏酮(colensanone),柯伦氏泪柏烯酮(colensenone),羽扇豆醇(lu-Peol),3-表-环鸦片甾烯醇(3-epi-cyclolaudenol)。又含顺式-橙花叔醇(cus-nerolidol),小叶九里香酸(murraxonin)。茎皮含香豆精类化合物:3-(1,1-二甲烯丙基)-花椒内酯[3-(1,1-dimethylallyl)xanthyletin],小叶九里香双内酯(mexolide),近月橘素(mexoticin)。又含生物碱:O-甲基柯氏九里香酚碱,吉九里香碱。还含谷甾醇-β-D-阗乳糖甙(sitosterol-β-D-galactoside)。 另据报道,小叶九里香还含九里香咔唑碱(murrayazoline),橙黄胡椒酸胺乙酸酯(aurantiamide acetate),7-甲氧基-8-(1’-甲氧基-2’-羟基-3'-甲基-△3-丁烯基)香豆精[7-methyoxy-8-(1'-methoxy-2'-hydroxy-3'-methyl-△3-butenyl)couma-rin],7-甲氧基-8-(2'-甲氧基-3'-羟基-3'-甲基丁基)香豆精[7-methoxy-8-(2'methoxy-3'-hydroxy-3'-methylbutyl)coumarin],7-甲氧基-8-(2',3'-二羟基-3'-甲基丁基)香豆精[7-methoxy-8-(2',3'-dihydroxy-3'-methylbutyl)coumarin]。 【理化鉴别】 薄层色谱:取本品粉末2g,加甲醇20ml,回流15min,趁热滤过,浓缩液作供试液;另以新九里香素、橙皮内酯水合物、九里香乙素及九里香丙素作对照品。分别点祥于同一硅胶G-0.7%CMC薄层板上,用氯仿-乙酸-水(4:1:1)展开后,量紫外光灯(254-365nm)下检视。供试液色谱在与对照品色谱相应的位置上,显相同的蓝色斑点。 【药理作用】 1.茎叶煎剂有局部麻醉作用,12.5%浓度用于浸润麻醉,效果尚好,唯局部刺激性较大。对麻醉犬的血压、呼吸无显着影响。 2.从本品石油醚提取物中分得一种不含氮的结晶性成分(分解点91-92℃),对离体鼠肠有明显的松弛作用,能对抗组胺、氯化钡所致的平滑肌痉挛,但对乙酰胆碱引起的平滑肌痉挛无对抗作用。 3.九里香中分得一种糖蛋白,给孕期12-16日的孕兔腹腔注射10mg/kg或羊膜腔注射3mg/胚胎,可使孕兔终止妊娠。 4.同属植物麻绞叶(M.Koenigii)对人的致病性真菌,有特异的抑制作用。 【采收加工】 生长旺盛期结合摘心、整形修剪采叶,成林植株每年采收枝叶1-2次,晒干。 【炮制】 本品洗净、阴干、切段备用,也可捣碎浸酒服 【附方】 治湿疹:九里香鲜枝叶,水煎,擦洗患处。(《福建中草药》) 【参考文献】 1.《生草药性备要》:止痛,消肿毒,通窍,能止疮痒,去皮风,杀疥。2.《岭南采药录》:患百子痰打,用叶一撮,捣烂煮粥,和糖服之。3.《广西中药志》:行气止痛,活血散瘀。治跌打肿痛,风湿,气痛。4.《本草纲目》引傅滋《医学集成》治肚痈,以九里香草捣碎浸酒服,疑即本品。 【图片】 九里香 ![]() 千里香 ![]() 药材九里香 ![]() 药材九里香叶横切面 ![]() (责任编辑:Doctor001) |








