|
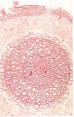
【标题】 两面针 【拼音】 Liangmianzhen 【英文】 RADIX ZANTHOXYLI 【概述】 本品为芸香科植物两面针Zanthoxylum nitidum (Roxb.) DC. 的干燥根。全年均可采挖,洗净,切片或段,晒干。 【性味归经】 苦、辛,平;有小毒。归肝、胃经。 【应用】 行气止痛,活血化瘀,祛风通络。用于气滞血瘀引起的跌打损伤、风湿痹痛、胃痛、牙痛,毒蛇咬伤;外治汤火烫伤。 【注意】 不能过量服用。忌与酸味食物同服。 【贮藏】 置干燥处,防潮,防蛀。 【用法用量】 5~10g。外用适量,研末调敷或煎水洗患处。 【理化鉴别】 (1) 本品横切面:木栓层为10~15列木栓细胞。韧皮部有少数草酸钙方晶及油细胞散在,油细胞长径52~122μm,短径28~87μm;韧皮部外缘有木化的纤维, 单个或 2~5 个成群。木质部导管直径35~98μm,周围有纤维束;木射线宽 1~3 列细 胞,有单纹孔。薄壁细胞充满淀粉粒。 (2) 取两面针对照药材1g,加乙醇15ml,温浸30分钟,超声处理30分钟,滤过,滤液蒸干,残渣加乙醇1ml 使溶解,作为对照药材溶液。照薄层色谱法(附录Ⅵ B)试验, 吸取对照药材溶液和[含量测定]项下的供试品溶液、对照品溶液各2μl,分别点于同一 硅胶G薄层板上,置以苯-醋酸乙酯-甲醇-异丙醇-浓氨试液(20 :5 :3 :1 :0.12) 为展 开剂的展开缸中饱和10分钟, 展开,取出,晾干,置紫外光灯(365nm) 下检视。供试 品色谱中,在与对照药材色谱相应的位置上,显相同颜色的荧光斑点;在与对照品色谱 相应的位置上,显相同的浅黄色的荧光斑点。 (3) 取乙氧基白屈菜红碱对照品,加甲醇配制成每1ml含1mg的溶液,作为对照品溶液。照薄层色谱法(附录Ⅵ B)试验,吸取对照品溶液、[鉴别](2) 项下的对照药材溶 液和[含量测定]项下的供试品溶液各 2μl ,分别点于同一硅胶G薄层板上,以甲苯- 醋酸乙酯-甲醇(25 :2 :0.1)为展开剂,置以浓氨试液预饱和10分钟的展开缸内,展开, 取出,晾干,置紫外光灯(365nm) 下检视。供试品色谱中,在与对照药材色谱相应的位 置上,显相同颜色的荧光斑点;在与对照品色谱相应的位置上,显相同的橘黄色荧光斑点。 【含量测定】 取本品粗粉约1g〔同时另取本品粉末测定水分(附录Ⅸ H第一法〕,精密称定,置索氏提取器中,加甲醇100ml,加热回流提取至回流液无色。提取液回收甲醇 至约2ml,转移至10ml量瓶中,加甲醇至刻度,摇匀,作为供试品溶液。另取氯化两面针碱 对照品适量,精密称定,加甲醇制成每1ml 含0.5mg 的溶液,作为对照品溶液。照薄层色 谱法(附录Ⅵ B)试验,精密吸取供试品溶液4μl、对照品溶液1μl与4μl,分别交叉点 于同一以羧甲基纤维素钠为黏合剂的硅胶G薄层板上,以苯-醋酸乙酯-甲醇-异丙醇- 浓氨试液(20 :5 :3 :1 :0.12) 为展开剂,展开,取出,晾干,置紫外光灯(365nm) 下检视。 照薄层色谱法(附录Ⅵ B薄层扫描法)进行扫描,波长:λS=300nm,λR=210nm,测量供试 品吸收度积分值与对照品吸收度积分值,计算,即得。 本品按干燥品计算,以两面针碱(C21H18NO4)计,不得少于0.25%。 【性状】 本品为厚片或圆柱形短段,长2~20cm,厚0.5~6(10)cm。表面淡棕黄色或淡黄色,有鲜黄色或黄褐色类圆形皮孔。切断面较光滑,皮部淡棕色,木部淡黄色, 可见同心性环纹及密集的小孔。质坚硬。气微香,味辛辣麻舌而苦。 【图片】 两面针 ![]() 药材两面针 ![]() 药材两面针根横切面 ![]() (责任编辑:Doctor001) |







